When teeth whitening goes wrong, it’s usually due to overuse, the wrong products, or a lack of dental supervision. Uneven color, increased sensitivity, gum irritation, and enamel damage are common outcomes of DIY or cosmetic whitening treatments done incorrectly.
In this article, you’ll learn the most common whitening mistakes, why at-home and over-the-counter products often fail, how dentists correct whitening damage, and how to achieve a whiter smile safely without risking permanent tooth or gum problems.

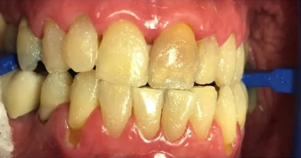
Common Ways Teeth Whitening Goes Wrong
The most common problems that occur during teeth whitening or other cosmetic dentistry services are primarily enamel and gum damage:
Excessive bleaching and enamel damage
One of the most common whitening mistakes is over-bleaching. Using high concentrations of hydrogen peroxide or carbamide peroxide too frequently can weaken enamel, making teeth porous and prone to discoloration. Once enamel is damaged, teeth may appear chalky, dull, or uneven instead of brighter. Enamel erosion also increases sensitivity and raises the risk of cavities.
Gum burns and soft-tissue irritation
Improperly fitted whitening trays or liquid gels that come into contact with the gums can cause chemical burns. This leads to redness, pain, peeling tissue, and sometimes long-lasting irritation. Gum damage often occurs with at-home kits that lack custom trays or professional guidance, leading to bleaching agents spilling onto soft tissue, which will require periodontal gum care.
Read more: Is Teeth Whitening Covered By Insurance
Why DIY and Over-the-Counter Whitening Often Fails
Many DIY whitening products promise fast results but don’t account for individual tooth structure, existing restorations, or stain type. Teeth can have intrinsic (inside the tooth) or extrinsic (on the surface) stains, and not all stains respond to the same treatments.
Over-the-counter kits apply a one-size-fits-all approach, which can result in uneven whitening, especially if you have fillings, crowns, or enamel wear. In addition, repeated use without monitoring increases sensitivity and damage while delivering diminishing cosmetic results.
A super interesting part of the failed and gone wrong teeth-whitening procedures is that some industries benefit from them, which are called Illegal teeth-whitening industries.
The BBC has investigated this and has written an article that can be useful for some of you to read.
How Dentists Fix Whitening Damage and Discoloration
These are the most common and probably the best way to fix whitening damage and also recover the teeth’s natural color:
Stabilizing Sensitivity
Dentists often begin by stopping whitening immediately and using remineralizing treatments to strengthen enamel. Desensitizing agents and fluoride applications help calm irritated nerves and restore comfort.
Correcting Blotchy Color
Patchy whitening is often caused by uneven enamel thickness or dehydration from bleaching. Dentists allow teeth to rehydrate naturally, then reassess color. In some cases, controlled in-office whitening or polishing can rebalance shade differences.
Treating Gum Irritation
Chemical burns are treated with soothing agents and protective gels. Once the gums have healed, dentists can advise whether whitening can resume safely or whether alternative cosmetic options are more appropriate.
Covering Permanent Damage
If whitening has permanently altered tooth structure or color, cosmetic restorations such as bonding or dental veneers may be recommended to restore a natural appearance.
Read more: Teeth Whitening Aftercare Tips

How to Whiten Teeth Safely Without Long-Term Harm
Safe whitening starts with understanding the cause of discoloration:
- Start with a dental exam before whitening
Not all discoloration responds to whitening. Cavities, gum disease, enamel erosion, or existing restorations can cause uneven or harmful results. A dental exam helps identify whether whitening is appropriate and prevents worsening hidden problems. - Understand the type of stains you have
Surface (extrinsic) stains from coffee, tea, or smoking respond well to whitening, while internal (intrinsic) stains may not. Whitening intrinsic stains without guidance often leads to patchy or orange-toned results rather than a natural white shade. - Avoid overusing whitening products
More whitening does not mean better whitening. Repeated or prolonged exposure to peroxide weakens enamel, increases tooth sensitivity, and makes teeth more prone to future staining. Always follow recommended timelines and concentrations. - Protect your gums during whitening
Gum irritation is a common side effect of improper whitening. Using custom trays, protective barriers, or professionally applied whitening reduces soft-tissue exposure and discomfort. - Limit stain-causing foods and drinks after whitening
Teeth are more porous immediately after whitening. Coffee, red wine, dark sauces, and smoking can quickly re-stain enamel if consumed too soon. - Choose professional whitening for predictable results
Dentist-supervised whitening uses controlled peroxide levels, custom trays, and monitoring to minimize risk while delivering even, long-lasting results.
Professional teeth whitening offers predictable results because it is tailored to your teeth, not a generic formula.
Don’t Try To Fix Your Whitening At Home!
If whitening has left your teeth sensitive, patchy, or damaged, don’t try to fix it on your own. At Tsawwassen Family Dental, we provide expert evaluation and safe cosmetic solutions to correct whitening issues and protect your enamel.
Take the Right Steps After Teeth Whitening Goes Wrong
When teeth whitening goes wrong, the issue is rarely permanent, but ignoring it can make the damage worse. Over-bleaching, gum exposure, and unsupervised treatments are the leading causes of sensitivity, patchy color, and enamel damage. With proper care and professional guidance, most whitening complications can be corrected safely.
If you’re experiencing discomfort or uneven results after whitening, Tsawwassen Family Dental can assess the damage and recommend safe, effective solutions to restore both your smile and oral health.
FAQ
Below are answers to common questions about whitening complications, sensitivity, and enamel safety.
-
Can teeth whitening permanently damage enamel?
Yes, excessive or improper whitening can weaken enamel. While mild damage may be reversible, repeated over-bleaching can cause long-term sensitivity and structural changes.
-
Why did my teeth turn patchy or uneven after whitening?
Uneven whitening often results from inconsistent enamel thickness, dehydration, or existing dental restorations. DIY products commonly cause this issue.
-
How long does whitening sensitivity usually last?
Mild sensitivity typically resolves within a few days. If sensitivity persists for more than a week, a professional evaluation is recommended.
-
Can a dentist reverse whitening damage?
In many cases, yes. Dentists can reduce sensitivity, rebalance color, and recommend restorative treatments if damage is permanent.
Have you experienced whitening sensitivity or uneven results?
Share your questions or experience below
Your story may help others avoid the same mistakes.